Artrosi caviglia: una condizione disabilitante
L’artrosi della caviglia può incidere profondamente sulla qualità della vita dei pazienti. L’osteoartrite sintomatica è altrettanto comune nella caviglia che nell’anca o nel ginocchio. Tutte le fratture bimalleolari o trimalleolari della caviglia possono andare incontro ad artrosi della caviglia.
Cos’è la protesi totale della caviglia?
La protesi totale della caviglia è una procedura chirurgica eseguita da chirurghi ortopedici specializzati nel piede e nella caviglia per il trattamento delle gravi forme di artrosi.
La protesi consiste nel rimuovere la superficie artrosica dell’estremità della tibia e dell’astragalo (osso del piede) e rivestirle con componenti metalliche. Le componenti metalliche vengono separate da una componente di plastica molto resistente (polietilene). L’operazione è del tutto analoga alla protesi d’anca e alla protesi di ginocchio.
Artrosi caviglia: cos’è e qual’è la causa?

Il movimento delle articolazioni dell’organismo è assicurato dalla cartilagine. Questo tessuto costituisce uno strato compatto e perfettamente liscio che riveste tutte le articolazioni, consentendo un movimento indolore.
L’artrosi della caviglia comporta la degenerazione della cartilagine nell’articolazione della caviglia. Con il tempo possono svilupparsi anche speroni ossei, dolore e deformità. La caviglia è l’articolazione più comunemente lesa nel corpo e sopporta più peso per centimetro quadrato. Si compone di 3 articolazioni costituite da tibia, perone e astragalo.
Nella caviglia la cartilagine è molto più sottile rispetto all’anca e al ginocchio. Essa sopporta 5-7 volte il peso corporeo durante la deambulazione. E’ una articolazione altamente congruente, il che significa che l’astragalo corrisponde molto bene alla forma dell’estremità del perone e della tibia. Se un paziente perde la congruenza a causa di instabilità (distorsioni ripetute alla caviglia) o di una precedente frattura, l’artrosi può facilmente svilupparsi. La frattura bi-malleolare e la frattura tri-malleolare sono la causa più comune di osteoartrosi nell’articolazione della caviglia.
Chi può sviluppare l’artrosi alla caviglia?
- Pazienti che hanno subito lesioni traumatiche della caviglia, comprese fratture e distorsioni.
- Storia familiare di artrosi della caviglia
- Artrite Reumatoide e altri tipi di artrite (malattie reumatiche)
- Infezioni della caviglia (artrite batterica)
La Valutazione e la diagnosi
Nel valutare e diagnosticare la vostra condizione, il chirurgo ortopedico vi chiederà di eventuali lesioni alla caviglia precedentemente riportate, comprese distorsioni significative e fratture. La caviglia sarà esaminata per verificare l’eventuale presenza di aree delicate, segni di gonfiore, movimento e deformità. Le radiografie sotto carico sono effettuate per mostrare l’allineamento della caviglia ed è comunemente l’unico accertamento diagnostico necessario per confermare l’artrite della caviglia. Non si può ignorare la forma del piede prima del trattamento dell’artrosi grave della caviglia.
Le radiografie sotto carico possono anche rivelare l’artrosi nelle articolazioni del piede circostanti alla caviglia. La TAC è assolutamente necessaria per definire ulteriormente l’artrosi e valutare la perdita ossea, se presente. Una risonanza magnetica è raramente necessaria nel trattamento dell’artrosi della caviglia.
Artrosi caviglia: Opzioni di trattamento
Alcuni fattori importanti da considerare includono: 1) allineamento degli arti e della caviglia; 2) anatomia ossea e legamentosa dell’articolazione della caviglia; 3) movimento della caviglia che si verifica nei piani sagittale, coronale e trasversale; e 4) contributi talocrurale e subtalare per il movimento in questi tre piani. Il trattamento dell’artrite della caviglia si basa sui risultati della storia clinica e dell’esame, sulle radiografie e sul livello di attività del paziente.
Il trattamento non chirurgico può includere:
- Ortesi plantare- Può aiutare a modificare l’appoggio e l’allineamento del piede e/o della caviglia . Può aiutare a migliorare i sintomi.
- Fisioterapia – La fisioterapia è più efficace quando l’artrosi è associata ad instabilità. La terapia può migliorare la stabilità della caviglia rafforzando i muscoli. La terapia può anche aiutare a mantenere la caviglia in movimento, che è importante per mantenere sane le articolazioni. La fisioterapia in assoluto più utile è quella dopo l’intervento di PROTESI TOTALE DELLA CAVIGLIA.
- Farmaci – Farmaci antinfiammatori non steroidei (FANS), possono essere prescritti per ridurre il dolore e l’infiammazione.
- Iniezioni di steroidi – L’iniezione di uno steroide nell’articolazione della caviglia può ridurre significativamente l’infiammazione e ridurre il dolore. Si sconsiglia perché è una pratica inutile. Può essere pericolosa perchè la caviglia si può infettare.
- Modifica dell’attività – Gli individui atletici possono diminuire l’intensità e la frequenza degli sport che praticano.
Se la gestione non chirurgica non riesce ad alleviare adeguatamente il dolore, l’intervento chirurgico è qualcosa da discutere con il chirurgo ortopedico specializzato nel trattamento di protesi di caviglia. L’artroscopia e la “pulizia articolare” della artrosi della caviglia hanno ormai dimostrato la assoluta inutilità di questo intervento.
Quando l’artrosi è più avanzata e il dolore continua, ci sono due trattamenti comuni:
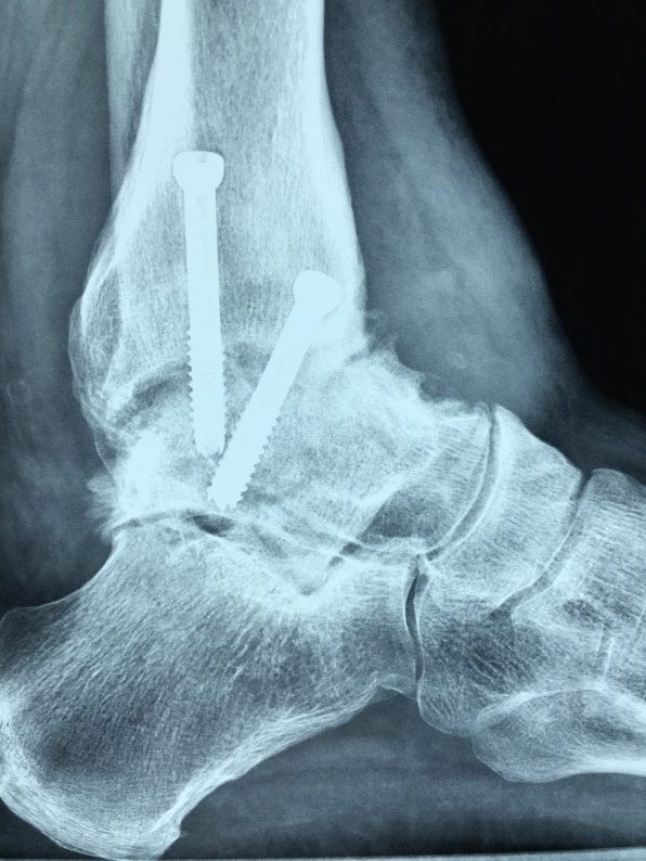
- L’Artrodesi della caviglia è un intervento abbandonato così come è stata abbandonata la artrodesi dell’anca e l’artrodesi del ginocchio.
Questa procedura chirurgica consisteva nel blocco della caviglia. Si praticava la fusione della tibia con l’astragalo. La caviglia si trasforma in un unico osso solido che non si muove più. Tipicamente, per stabilizzare la fusione si usano viti da sole o placche e viti. Dopo che la caviglia è bloccata il dolore può aumentare. I pazienti sono ad un rischio aumentato di sviluppare l’artrosi in altre articolazioni del piede dopo questa procedura. Si procede alla artrodesi della caviglia solo quando vi è una paralisi della gamba, nei casi di grande distruzione o di mancanza dell’osso oppure quando vi è una grave infezione dell’osso.


La Protesi totale della caviglia
Con questa procedura, il movimento viene ripristinato e il dolore viene eliminato.
Questo riduce lo stress sulle articolazioni del piede che sono accanto alla caviglia. Viene così diminuita la possibilità di sviluppare l’artrosi. I nuovi disegni di impianti hanno percentuali di successo molto migliori rispetto ai disegni più vecchi. La capacità della nuova articolazione della caviglia di muoversi su e giù è considerata il vero vantaggio rispetto alla fusione della caviglia. Salire e scendere normalmente le scale non potrà mai accadere con l’artrodesi della caviglia!

Intervento chirurgico
La protesi della caviglia viene comunemente eseguita in anestesia generale con un blocco nervoso periferico (peridurale).
Si pratica una incisione in sede anteriore, che consente il controllo di tutti i versanti articolari. Si evita l’accesso laterale, che fornisce una visone unilaterale e limitata delle patologie da curare.
La parte malata della articolazione viene tagliata e rimossa. Si procede al corretto posizionamento dei componenti in metallo e dell’inserto in plastica che ricreano l’articolazione della caviglia. La incisione viene quindi chiusa con punti di sutura e viene applicata un bendaggio. Il paziente deve muovere la caviglia operata dal giorno dopo l’intervento. Può effettuare 5 passeggiate al giorno di 15 – 20 min. La riabilitazione intensiva si inizia il secondo mese. La ripresa del lavoro avviene nel terzo mese. Il pieno recupero dalla sostituzione della caviglia può richiedere dai 6 ai 12 mesi.
Chi impianta la protesi di caviglia?
L’intervento di protesi totale della caviglia è una procedura complicata e dovrebbe essere eseguita solo da un chirurgo del piede e della caviglia. I rischi dell’intervento sono generici, come quelli che riguardano tutti gli interventi chirurgici.
Ci sono rischi specifici tra cui infezioni, problemi di guarigione della incisione chirurgica. I problemi di usura o di scollamento dell’impianto sono esattamente come quelli della protesi d’anca e della protesi di ginocchio e vengono trattate esattamente come tutte le altre protesi della chirurgia ortopedica.
Il Dott. Andrea Scala, ha conseguito il suo diploma di Laurea in Medicina e Chirurgia presso la Università Cattolica del S. Cuore – Policlinico “A. Gemelli” di Roma con la discussione della tesi sperimentale, elaborata presso l’Istituto di Clinica Ortopedica diretta dal Prof. G.F. Fineschi, dal titolo: “Studio delle modificazioni cellulari indotte dai metalli di comune impiego in Chirurgia Ortopedica”, riportando la votazione di 110/centodecimi. E’ specialista in Traumatologia e Ortopedia, specialista in Medicina dello Sport, dal 1984 cura le patologie della Caviglia e del Piede e nel 1998 ha impiantato per primo la Protesi di Caviglia a Roma. Grazie ai numerosi anni di esperienza nel settore, alla formazione continua e alla pratica chirurgica effettuata in prestigiosi Centri Ospedalieri e Universitari italiani ed esteri, il Dott. Scala garantisce ai propri pazienti risultati eccellenti, ottenuti attraverso tecniche chirurgiche micro-invasive, accurati studi sul singolo caso clinico e attuazione di terapie di ultima generazione per agevolare e accelerare la rigenerazione dei tessuti.
I trattamenti per cui è specializzato sono:
Protesi caviglia
Piede paralitico
Malattia di Haglund
Alluce valgo
Distorsione caviglia
Alluce rigido
Piede piatto
Neuroma di Morton
Il Dott. Scala è l’unico chirurgo ortopedico specialista italiano iscritto alla Società Francese di Chirurgia della caviglia e del piede. Svolge la propria attività professionale presso la Casa di Cura ARS MEDICA in Roma.

Al più presto verrò da lei potrei sapere il costo della visita? Grazie
Gent. Sig.Cinzia, grazie per aver scritto. Abbiamo una grande esperienza di questa patologia della caviglia. Le visite si fanno privatamente presso la clinica ARS MEDICA in Roma (controlli dove è situata). Alcuni interventi si possono fare con il Servizio Sanitario. Dipende dai particolari casi clinici. Chiami il 3357662164 per avere tutte le informazioni che desidera, per un appuntamento e per una radiografia convenzionata (si faccia preparare dal suo medico l’impegnativa per: RXgrafia piede e caviglia dx e sin sotto carico). Saremo in grado di valutare di che cosa si tratta e che cosa si può fare. Cordiali saluti.
dott. Andrea Scala
Dottore buona sera ho avuto un investimento una ruota mi ha fatto alzare la caviglia provocando uno schiacciamento da dietro,, a dire della ospedale di Massa nessuna frattura, nessun tutore o gesso , 7 giorni di riposo , dalla rm e risultato coinvolto la lesione e non la rottura del legamento deltoideo e PAA. la caviglia e instabile e dolente
Fisioterapia inutile e da 6 mesi che soffro, se vengo da lei c’è la possibilità dell URGENZA in caso di intervento.Saluto